小猪号
  • 首页
  • 资讯中心
    • IT业界
    • 实时快讯
    • 手机平板
    • 爱车一族
    • 游戏世界
    • 家电数码
    • 软件之家
    • 电脑办公
    • 科学动态
    • 影音达人
  • 苹果新闻
  • 特斯拉
  • 技术分类
    • 苹果技术
    • safari教程
    • Homepod技术
    • Mac技巧
    • Mac工具软件
    • AirPods教程
    • AirTag教程
    • iPhone教程
    • iPad教程
    • Apple Watch教程
    • Apple 服务计划
    • Pages教程
    • Numbers教程
  • 智能时代
    • 人工智能
    • 智能家居
    • 智能穿戴
  • 百科排行
    • 产品运营
    • 创业资讯
    • 手机术语
    • 手机问题
    • 装修建材
    • 网络流行榜
标签
首页 包含"肿瘤"标签的文章
3岁男童反复呕吐被确诊癌症晚期:被称为儿童癌症之王 科学动态

3岁男童反复呕吐被确诊癌症晚期:被称为儿童癌症之王

3岁男童反复呕吐被确诊癌症晚期:被称为儿童癌症之王...

科学动态 2023-01-13 565 #癌症 #肿瘤

肾脏衰竭 球王贝利病情继续恶化:家人开始筹备葬礼 科学动态

肾脏衰竭 球王贝利病情继续恶化:家人开始筹备葬礼

肾脏衰竭 球王贝利病情继续恶化:家人开始筹备葬礼...

科学动态 2022-12-26 533 #肾 #肿瘤

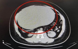
女子以为发胖肚中取出16斤囊肿 比足球大!医生称若局部膨隆要重视 科学动态

女子以为发胖肚中取出16斤囊肿 比足球大!医生称若局部膨隆要重视

女子以为发胖肚中取出16斤囊肿 比足球大!医生称若局部膨隆要重视...

科学动态 2022-11-21 578 #肿瘤 #肥胖

身上有硬硬的肿块会是肿瘤吗:出现四个特点需警惕 科学动态

身上有硬硬的肿块会是肿瘤吗:出现四个特点需警惕

身上有硬硬的肿块会是肿瘤吗:出现四个特点需警惕...

科学动态 2022-07-05 935 #肿瘤 #健康

国内首台!国产质子治疗装置获新突破:96吨庞然大物 科学动态

国内首台!国产质子治疗装置获新突破:96吨庞然大物

国内首台!国产质子治疗装置获新突破:96吨庞然大物...

科学动态 2022-05-26 1.2K #肿瘤 #癌症

副作用极小!新技术可用声波瓦解肿瘤 科学动态

副作用极小!新技术可用声波瓦解肿瘤

副作用极小!新技术可用声波瓦解肿瘤...

科学动态 2022-04-22 841 #超声波 #肿瘤

癌症患者福音!科学家研发新型治疗方法:已成功完全根除肿瘤 科学动态

癌症患者福音!科学家研发新型治疗方法:已成功完全根除肿瘤

癌症患者福音!科学家研发新型治疗方法:已成功完全根除肿瘤...

科学动态 2022-03-04 735 #肿瘤 #癌症

最新文章

  • 遗憾!重庆江北嘴的“坑”

    遗憾!重庆江北嘴的“坑”

    2025-09-24 0
  • Bitget 注册邀请链接【2025最新】手续费返佣+注册奖励全攻略

    Bitget 注册邀请链接【2025最新】手续费返佣

    2025-08-28 0
  • 如何购买Bitget Token(BGB)

    如何购买Bitget Token(BGB)

    2025-08-28 0
  • 重庆旅游的花费因旅行方式|重庆旅游花多少钱。

    重庆旅游的花费因旅行方式|重庆旅游花多少钱。

    2025-06-16 0
  • 福建旅游花多少钱?|福建旅游的花费因旅行方式、行程时长、住宿餐饮标准

    福建旅游花多少钱?|福建旅游的花费因旅行方式、行程时

    2025-06-16 0
  • 开源,免费,新一代智能国产品开源WAF的NO1,雷池(SafeLine)

    开源,免费,新一代智能国产品开源WAF的NO1,雷池

    2025-06-16 0

热门文章

    关于本站

    小猪号,分享美好数字生活! 网站地图 网站地图sitemap
    Copyright © 2019 本站由 Z-BlogPHP强力驱动渝ICP备2021004682号-2

    联系我们

    合作或咨询可通过如下方式:

    email:site777#qq.com #换@

    关注我们

    小猪号二维码